انزوای اجتماعی، زوال عقل را افزایش می‌دهد

انزوای اجتماعی، زوال عقل را افزایش می‌دهد

محققان در مطالعات جدید خود نشان داده‌اند که انزوای اجتماعی باعث ایجاد تغییراتی در ساختار مغز و شناخت انسان‌ها می‌شود و حتی خطر ابتلا به زوال عقل را در افراد مسن افزایش می‌دهد.

 

به گزارش رادیونشاط، طبق مطالعاتی که تاکنون انجام شده، مغز انسان‌ها به طور خاص تمایل بیشتری به تعاملات اجتماعی دارد و حضور در اجتماع، می‌تواند منجر به بهبود رفاه و افزایش رضایت از زندگی شود.

با این وجود، بسیاری از انسان‌ها در دنیای امروزی کاملا تنها یا از نظر اجتماعی منزوی هستند. بنابراین می‌توان انتظار داشت که در این شرایط مغز انسان‌ها تحت تاثیر تغییرات منفی قرار بگیرد.

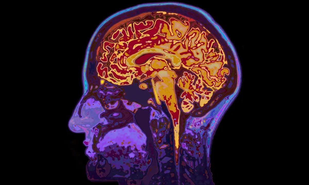
هرچند تاکنون آزمایش‌هایی در این زمینه انجام شده، اما محققان این بار تلاش کرده‌اند تا نحوه تاثیر انزوای اجتماعی بر ماده خاکستری مغز را با دقت بیشتری بررسی کنند. آن‌ها برای رسیدن به اهداف خود، داده‌های نزدیک به 500 هزار نفر از بانک اطلاعات پزشکی (Biobank) بریتانیا را با میانگین سنی 57 سال بررسی کردند. همچنین در این تحقیق از عکس MRI حدود 32 هزار نفر استفاده شد.

به گفته آن‌ها، افراد منزوی نسبت به سایر افراد قدرت درک ضعیف‌تری دارند که شامل حافظه و زمان واکنش می‌شود. همچنین در برخی قسمت‌های مغز آن‌ها مانند لوب گیجگاهی (مسئول پردازش صدا)، لوب پیشانی (توجه، برنامه‌ریزی و وظایف شناختی پیچیده) و هیپوکامپ حجم کمتری از ماده خاکستری دیده می‌شود.

هیپوکامپ یک ناحیه کلیدی از مغز انسان‌ها است که در یادگیری و حافظه نقش مهمی دارد و معمولا یکی از اولین بخش‌هایی است که در شکل‌گیری بیماری آلزایمر مختل می‌شود.

محققان 12 سال بعد، بررسی‌های خود را با شرکت‌کنندگان انجام دادند و به گفته آن‌ها کسانی که از نظر اجتماعی منزوی بودند، 26 درصد بیشتر در معرض خطر زوال عقل بوده‌اند.

افرادی به عنوان منزوی اجتماعی طبقه‌بندی می‌شوند که تنها زندگی می‌کنند، یک ماه هیچ تماس اجتماعی نداشته‌اند یا به مدت یک هفته در هیچ فعالیت اجتماعی حضور نداشته‌اند.

به طور کلی دانشمندان امیدوارند تا در آینده درمان‌های بهتری برای پیری و زوال عقل وجود داشته باشد. طبق این تحقیق، یکی از راه‌های پیشگیری مهم، کنار گذاشتن انزوای اجتماعی است. در آینده مطالعات بیشتری در این زمینه انجام خواهد شد.